Press release

Heart failure risk detected by AI in pioneering study

Artificial Intelligence has the capability to detect people living with the risk of experiencing heart failure, new University of Dundee research has discovered.

Published on 28 May 2024

School of Medicine at dusk

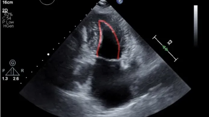
Experts at the University’s School of Medicine utilised AI to scan images of the heart to identify patients with heart failure from population based electronic health records and echocardiography heart scans. The project was carried out utilising state-of-the-art technology from software developer Us2.ai and was funded by Roche Diagnostics International. The full findings have been published in the journal ESC Heart Failure.

Professor Chim Lang, said, “Our research represents an advancement in the utilisation of deep learning to automatically interpret echocardiographic images. This can allow us to streamline the identification of patients with heart failure at scale within electronic health record datasets.

“Echocardiography heart scans that were enhanced by the AI software helped to provide more measurements - or parameters - of heart structure and function that can be used to help diagnose heart failure. These measurements were not routinely reported by the usual heart scans from the electronic health records.

“When compared to reports generated by routine heart scans, those enhanced by AI were more detailed and could also be processed at a larger scale than conventional images.

“This has potential clinical and research implications as it could enhance the efficiency and speed of patient selection for pragmatic clinical trials, as well as improving heart failure surveillance and early diagnosis across hospital systems.”

Heart failure is a highly prevalent but underdiagnosed condition that means the heart is unable to pump blood around the body effectively. While symptoms can be controlled to some extent through lifestyle changes, surgery and medication, in most instances it is a serious, long-term condition that gets progressively worse over time.

Experts utilised data made available voluntarily by patients through the

Scottish Health Research Register and Biobank (SHARE), which provides researchers with volunteers, samples, health data and genomic information for clinical trials. Deep learning was then used to examine archived echocardiographic images to identify anomalies that could increase a patient’s risk of experiencing heart failure.

“This is an example of how AI has the potential to provide real-world benefits to patients,” added Professor Lang.

“By assessing vast amounts of patient records, we have been able to detect structural and functional anomalies that we would not have been able to do with traditional analysis of echocardiographic images.

“While this is a test case, I’m very excited that we have been able to apply deep learning to a biobank resource on a large scale. Hopefully this paves the way for other researchers to utilise this technology to benefit patients around the world.”

For more information, read Professor Lang’s research online.

Enquiries

Jonathan Watson

Senior Press Officer

+44 (0)1382 381489

[email protected]